Wired Journey
A place where I talk about my mouth... A LOT.
Sunday, November 21, 2010
Week 2
Day 1
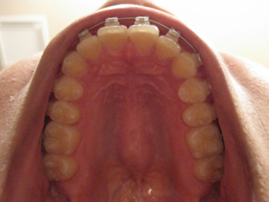
Week 2
- Much straighter!
You can really see a difference in my teeth in the first two weeks of having braces! My lateral incisors have moved back quite a bit, but there is still a ways to go!
No comments:
Post a Comment
Newer Post
Older Post
Home
Subscribe to:
Post Comments (Atom)
No comments:
Post a Comment